Amazon.co.jp アソシエイト全国
あと2万円自由になるお金が欲しいローンで苦しむサラリーマンが

このHPに出会って→ http://cute.main.jp/s-hp/s-syun/1.html

    本業の合間に 4倍の小遣いをGET!

  Contact Me

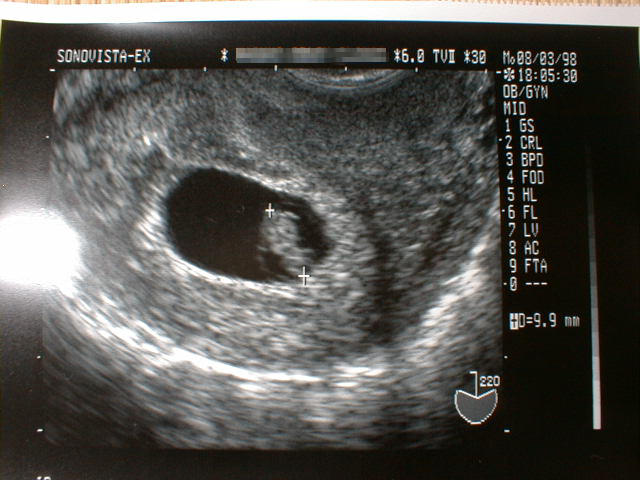
第7週に入った胎児の写真です。
(大きさは、9.9mm)

ch-1.jpg (57432 バイト)

前のページへ

あと2万円自由になるお金が欲しいローンで苦しむサラリーマンが

このHPに出会って→ http://cute.main.jp/s-hp/s-syun/1.html

    本業の合間に 4倍の小遣いをGET!